A Pox To Consider

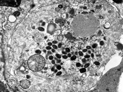
Credit: U.S. Centers for Disease Control
Contrary to the belief that smallpox is gone, there are at least two places where the virulent virus can be found. It is locked away in secure laboratories in Atlanta and the Russian city of Novisibirsk in Siberia. Pressure is mounting on the U.S. and Russia to destroy all remaining samples of the...

Subscription Required

 

This content requires a subscription to one of the Aviation Week Intelligence Network (AWIN) bundles.

Schedule a demo today to find out how you can access this content and similar content related to your area of the global aviation industry.

Already an AWIN subscriber? Login

 

Did you know?  Aviation Week has won top honors multiple times in the Jesse H. Neal National Business Journalism Awards, the business-to-business media equivalent of the Pulitzer Prizes.